Modificarile ultrasonografice intalnite in patologia colecistului sunt complexe, dar ele pot fi sistematizate in cateva categorii, care faciliteaza descrierea leziunilor:
anomalii ale conformatiei, volumului si pozitiei colecistului.
alterari focale sau difuze ale aspectului continutului vezicular.
alterari focale, parcelare sau difuze ale peretelui vezicular.
modificari de vecinatate.
Anomaliile formei colecistului sunt foarte frecvente, dar numai rareori au o semnificatie patologica reala. In cele mai multe cazuri, fie ca nu este vorba de o malformatie reala, fie ca nu aceasta este responsabila de simptomatologia pacientului.
Intre anomaliile adevarate minore, descrise in radiologia clasica, se numara colecistul conformat in 'bisac' si cel in forma de 'capa frigiana'.
|
|
|
|
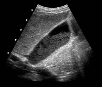
Capa frigiana |
Aspect morfopatologic de colecist in capa frigiana |
Ambele sunt produse prin cuduri ale corpului, respectiv ale portiunii fundice, cu realizarea unui aspect bicompartimentat al veziculei biliare
In aceste cazuri, imaginea ecogena de sept care subimparte lumenul colecistului este data de insasi peretele vezicular, la nivelul cudurii. Anomalia se afirma numai daca imaginea patologica se mentine si la examinarea pacientului in decubit lateral stang sau/si in ortostatism sau, exceptional, dupa administrarea unui pranz gras. Diagnosticul diferential fata de o septare sau o duplicare veziculara reala poate fi, uneori, dificil. Desi au importanta practica limitata, astfel de anomalii pot constitui cauze de eroare in diagnosticul calculilor sau maselor patologice veziculare, in situatia in care acestea sunt situate in 'punga' distala si scapa examinarii de rutina.

Sept semicircular in 1/3 medie a colecistului
Colecistul multiseptat ofera o imagine caracteristica de formatiune cu continut transsonic, compartimentata incomplet prin septuri ecogene multiple care traverseaza lumenul. Anomalia este rara si poate favoriza litiaza, prin staza biliara din micile compartimente realizate de septuri.
Diverticulii veziculari pot avea dimensiuni variabile si pot interesa orice segment al colecistului. Ei trebuie diferentiati de imaginile realizate de sinusurile Rokitansky-Aschoff din adenomiomatoza. Punga diverticulara trebuie examinata cu atentie, deoarece poate constitui sediul unor calculi, uneori responsabili de procese inflamatorii acute sau cronice.
Duplicarea veziculara reala este foarte rara (1:12000 de colecistografii). De obicei, ecografic pot fi demonstrate cele doua lumenuri veziculare separate, dar nu poate fi obiectivata relatia lor cu ductul (ductele) cistic. Uneori, colecistul accesoriu poate fi ectopic, dar de cele mai multe ori, cele doua vezicule biliare sunt invecinate si au volum aproximativ egal. Diagnosticul diferential este dificil fata de colecistul cudat, septat sau bifid. Un criteriu util il poate constitui prezenta litiazei in numai una dintre vezicule, care nu se contracta fiziologic dupa administrarea unui pranz colecistokinetic, discrepant fata de vezicula biliara vecina.
Anomaliile false, care ofera imagini aparente de septare, subcompartimentare multipla sau diverticuli, pot fi usor diagnosticate prin inconstanta modificarilor ecografice in relatie cu pozitia in care se examineaza pacientul sau/si cu pranzul colecistokinetic.
Anomaliile volumului colecistului trebuie interpretate cu prudenta, intrucat capacitatea veziculei biliare este extrem de variabila de la individ la individ si fiziologic, in functie de starea jeun sau postprandiala in care s-a efectuat examinarea. Daca aceste conditii sunt eliminate, modificarile de volum pot castiga o semnificatie diagnostica, uneori, deosebita.
Cresterea volumului colecistului se afirma daca diametrul maxim al axului scurt depaseste 4 cm, in timp ce scaderea volumului vezicular are o conotatie mai mult subiectiva, care tine de experienta examinatorului. Cele mai importante cauze de modificare patologica a volumului veziculei biliare sunt
Cresterea volumului colecistului
hidrops vezicular (acut sau cronic)
colecistita acuta
obstructie biliara sub nivelul abusarii canalului cistic, daca cisticul este permeabil
atonie sau hipotonie veziculara
anomalii congenitale
stari postoperatorii
post prelungit
Scaderea volumului colecistului
colecistita scleroatrofica (litiazica)
adenomiomatoza veziculara
carcinom vezicular
hipoplazie veziculara
obstructie biliara completa deasupra abusarii ductului cistic
boli care evolueaza cu scaderea secretiei biliare
evacuarea patologica a continutului biliar printr-o perforatie spontana
anastomoze chirurgicale colecisto-digestive
colecistostomie chirurgicala sau percutana
fibroza chistica
Hidropsul vezicular se produce, de cele mai multe ori, datorita unei obstructii la nivelul canalului cistic. Obstructia poate fi acuta si, in acest caz, evolueaza cu tablou clinic de colica biliara. In timpul examinarii ecografice este important de sesizat 'starea de tensiune' in care se gaseste colecistul.
Hidropsul vezicular cronic constituie o eventualitate mai rara, produsa prin acelasi mecanism obstructiv, care nu evolueaza spre constituirea unei colecistite acute.


Hidrops vezicular
Colecistita acuta reprezinta o cauza frecventa de crestere a volumului vezicular, care constituie, uneori, singurul argument ecografic prin care se poate sustine diagnosticul.

Colecistita acuta. Colecit acalculos dilatat cu ingrosarea peretilor si sludge
In obstructia biliara joasa, secundara unor tumori pancreatice cefalice sau ampulare si, mai rar, unor calculi coledocieni, la distensia colecistului (semnul clinic Courvoisier - Terrier) se asociaza dilatarea cailor biliare extra- si intrahepatice.

Obstructie biliara joasa (dilatare de CBP si moderata dilatare a CHIH)
Atonia veziculara, care se poate insoti de cresterea marcata a volumului vezicular, se intalneste mai ales la varstnici. In aceste situatii, polul inferior al veziculei biliare depaseste mult marginea inferioara a ficatului si poate ajunge in fosa iliaca dreapta.
Hipotonia veziculara poate fi relevata de cresteri variabile ale volumului colecistului si survine, mai frecvent, la pacientii diabetici cu neuropatie vegetativa, dupa vagotomie chirurgicala sau la bolnavii aflati sub tratament substitutiv cu octreotid (STH).
Diagnosticul de hipotonie poate fi stabilit prin evidentierea raspunsului vezicular insuficient la administrarea unui pranz colecistokinetic. In atonia sau hipotonia veziculara colecistul nu este palpabil, iar examinarea ecografica nu se insoteste de exacerbarea durerii locale, ceea ce le diferentiaza fata de hidropsul vezicular sau/si colecistita acuta. Megacolecistul mai poate fi si rezultatul unor anomalii congenitale care sunt insotite, de obicei, de alte malformatii.
Pacientii aflati in stare postoperatorie si care nu se alimenteaza per os sau pacientii tratati prin nutritie parenterala, prezinta frecvent imagini de colecist destins, care dispar odata cu reluarea alimentatiei fiziologice.
Pe langa alte semne, scaderea volumului colecistului constituie un criteriu de diagnostic al colecistitei cronice scleroatrofice litiazice.
Un volum vezicular redus mai poate fi intalnit in adenomiomatoza colecistului si in tumorile veziculare care ii ocupa treptat lumenul. De aceea, un colecist 'mic' si litiazic, la un pacient varstnic, trebuie investigat cu atentie, pentru a se evita omisiunea unui carcinom vezicular.

Colecistita cronica scleroatrofica litiazica
Hipoplazia colecistului este o afectiune congenitala rara, cu functie evacuatorie veziculara pastrata, fara semnificatie clinica.
Imagini de colecist mic mai pot fi intalnite la copiii si tinerii cu fibroza chistica, situatie in care se mai constata, frecvent, neregularitati de contur, trabeculatii, sludge, calculi si functie evacuatorie deficitara.

Microcolecist la un pacient cu fibroza chistica
Colecistul mai poate avea dimensiuni mici si continut transsonic redus in bolile hepatice care evolueaza cu scaderea secretiei biliare sau in cele cu obstructie situata deasupra confluentului CHC cu ductul cistic. O alta cauza o reprezinta perforatia peretelui veziculei biliare, de obicei secundara unei colecistite acute grave. In aceste cazuri, indiferent daca evacuarea continutului biliar se face in vecinatate, rezultand o colectie pericolecistica sau in tubul digestiv, printr-o fistula bilio-digestiva spontana, colecistul are volum scazut si poate fi dificil de recunoscut. Aceeasi situatie poate fi creata de anastomozele chirurgicale colecisto-digestive, respectiv de montarea unei colecistostomii terapeutice chirurgicala sau percutana.
Anomaliile localizarii colecistului pot constitui substratul unor dificultati pentru recunoasterea sa prin ecografie. Sunt favorizate, astfel, erorile de diagnostic fata de alte formatiuni cu aspect chistic sau fata de colectii lichidiene hepatice, renale, suprarenaliene sau peritoneale. Cu rare exceptii, aceste anomalii nu au semnificatie clinica.
Imaginea ecografica de colecist intrahepatic se datoreste, cel mai frecvent, depresiunii accentuate a fosetei cistice si este, prin urmare, falsa. Localizarea intrahepatica reala, caz in care colecistul este complet inconjurat de parenchim hepatic, este mult mai rara. Ambele situatii pot ridica probleme majore de diagnostic diferential fata de formatiunile chistice sau abcesele hepatice, indeosebi daca a survenit o colecistita acuta.
Colecistul mai poate fi situat:
superficial - prehepatic (anterior marginii si fetei anterioare a ficatului) sau in ligamentul falciform,
lateral – interhepatodiafragmatic sau interhepatorenal, in stanga liniei mediane,
profund posterior – in contact cu vena cava inferioara, cu coloana vertebrala sau chiar in mezocolonul transvers.
In cazul in care poseda un mezou lung, vezicula biliara poate fi mobila (colecist 'flotant'). Ca o consecinta, colecistul poate sa-si modifice considerabil localizarea in relatie cu pozitia in care este examinat pacientul, fiind evidentiat strict in stanga liniei mediane sau in pozitie abdominala joasa, in fosa iliaca dreapta.
In toate aceste situatii, insa, regiunea colului vezicular ramane fixa, pastrandu-si relatia cu hilul hepatic, ceea ce faciliteaza recunoasterea colecistului.
Mobilitatea accentuata a colecistului poate reprezenta cauza volvulusului vezicular sau/si a hernierii sale prin hiatusul Winslow, ambele complicatii fiind rare. Hernierea colecistului prin peretele abdominal, spontana sau pe o cale realizata chirurgical (de exemplu, in vecinatatea unei colostomii), constituie eventualitati exceptionale.
Alterarile focale ale continutului vezicular sunt reprezentate de formatiuni sau mase intracolecistice cu ecogenitate variabila, insotite sau nu de umbra acustica posterioara.
Calculii veziculari reprezinta cauza cea mai frecventa a imaginilor reflectogene cu umbra acustica posterioara.
Pentru diagnosticul litiazei colecistului, ultrasonografia are o sensibilitate de 94 – 98,9 %, cu valori predictive pozitive si negative de aproximativ 96 % si o acuratete generala inalta, de 93 – 95 %. Rezultatele fals pozitive sau fals negative nu depasesc 1 – 3 % din cazuri.
Imaginea caracteristica de calcul este cea de masa reflectogena intraveziculara mobila, cu dimensiuni variabile, cu suprafata convexa sau liniara, insotita de umbra acustica posterioara clara, net definita.
Ecogenitatea (reflectivitatea) calculilor este, de obicei, inalta, desi pot exista si calculi adevarati cu ecogenitate scazuta. Daca umbra acustica este prezenta, certitudinea diagnosticului ecografic se apropie de 100%.


Litiaza biliara


Litiaza biliara
Umbra acustica a calculilor trebuie deosebita de cea produsa de gaze. In cazul calculilor, caracterul net al umbrei este rezultatul dominant al absorbtiei fasciculului incident, in timp ce pentru gaze, umbra este data de reflectarea completa a ultrasunetelor. Datorita fenomenului de reflectare repetata, gazele ofera o umbra mai flou conturata, care poate contine ecouri axiale ('dirty shadow') sau in banda ('ring-down artifact'). In timp, umbrele aerice sunt variabile ca aspect, intensitate si localizare, spre deosebire de cele date de calculi, care sunt constante.
In cazul litiazei, producerea umbrei acustice este dependenta de cateva conditii:
dimensiunile si, in mai mica masura, compozitia chimica a calculilor
caracteristicile transductorului
reglarea TGC
tehnica de examinare
Pentru a putea fi vizualizati, calculii trebuie sa ofere o anume suprafata reflectanta fata de fasciculul de ultrasunete. Se apreciaza ca, folosind aparate cu rezolutie inalta, un calcul poate fi depistat chiar daca diametrul sau este sub 2 mm.
Cu toate acestea, certitudinea diagnosticului este oferita de asocierea umbrei, care se produce, de obicei, numai in cazul calculilor cu diametrul de cel putin 2 - 3 mm. In cazul calculilor cu dimensiuni mai mici, chiar daca sunt multipli, umbra acustica poate lipsi. Ea poate fi, insa, obtinuta prin schimbarea pozitiei pacientului, cu aglomerarea calculilor intr-o masa reflectogena decliva unica.
Caracteristicile transductorului influenteaza calitatea imaginilor, umbra acustica fiind mai evidenta in cazul folosirii transductorilor cu frecventa inalta. In plus, mai ales daca se examineaza calculi de dimensiuni mici, este esentiala focalizarea transductorului la nivelul profunzimii imaginii patologice. Pentru a se produce umbra, fasciculul de ultrasunete trebuie sa fie mai ingust decat diametrul calculului, pe care trebuie sa cada 'in plin' si nu periferic. De aceea, umbra fiind un artefact definitoriu pentru diagnosticul de litiaza, este de dorit utilizarea unor transductori cu focalizare variabila, in aceste conditii fiind posibila evidentierea si a calculilor mici, acompaniati de umbra acustica discreta.
Compozitia chimica si structura calculilor influenteaza mai putin calitatea umbrei acustice. Fata de descrierea clasica, calculii cu impregnare calcara accentuata sau cei care inglobeaza aer, pot avea o umbra care contine reverberatii, mai putin definita, asemanatoare celei produse de gazele intestinale. Calculii colesterolici puri, de dimensiuni mici, pot sa nu produca umbra sau aceasta poate fi inlocuita de artefactul in 'coada de cometa' sau in forma literei 'V'. Acest artefact, caracterizat printr-un scurt con stralucitor cu baza in spatele unei imagini focale ecogene, apare datorita reverberatiilor produse de cristalele de colesterol dispuse intr-o anumita configuratie spatiala.
Tehnica de examinare poate influenta imaginile oferite de calculi prin felul in care este reglat aparatul si prin incidentele utilizate pentru scanare. O compensare in profunzime ('gain' distal) prea inalta poate masca umbra acustica sau chiar calculii de dimensiuni mici. De asemenea, ecogenitatea maxima si umbra definita a unui calcul se obtin atunci cand fasciculul incident cade perpendicular pe suprafata acestuia, ceea ce presupune folosirea unor sectiuni variate pentru obtinerea unor imagini cu valoare diagnostica certa.
O alta caracteristica a calculilor veziculari o constituie mobilitatea. Aceasta poate fi demonstrata prin examinarea pacientilor in pozitii variate, inclusiv in ortostatism. Mobilitatea unei imagini reflectogene cu umbra este inalt specifica pentru litiaza. Chiar si in absenta umbrei, caracterul mobil al unei structuri intrabiliare ecogene apartine, cel mai adesea, unui calcul si il diferentiaza, de exemplu, fata de un polip colesterolotic.
Mobilitatea poate lipsi in cazul calculilor inclavati in infundibul sau in ductul cistic, fixati intr-o depresiune parietala sau situati intr-un diverticul. Ea poate disparea si in cazurile in care continutul biliar fluid devine mai consistent (sludge, hemobilie cu coaguli sau puroi). Calculii multipli sau calculii unici cu dimensiuni mari, care ocupa intreg lumenul colecistului, respectiv calculii continuti intr-o vezicula biliara contractata sau scleroatrofica pot fi, de asemenea, imobili.
Datorita greutatii lor specifice mai mari decat cea a bilei veziculare, calculii sunt situati, de obicei, decliv. De la aceasta regula exista cateva exceptii. Astfel, imagini de calculi flotanti pot fi obtinute daca examinarea ecografica se efectueaza dupa ce s-au administrat, in prealabil, substante de contrast iodate pentru efectuarea unei colecistografii. Substantele de contrast cresc greutatea specifica a bilei, ceea ce poate conduce la aparitia fenomenului de flotare a calculilor, descris anterior.
In acelasi fel, calculii pot fi 'suspendati' in lumenul colecistului in conditii de transformare purulenta a bilei, cand sunt dislocati de coaguli sau in cazul in care contin aer.
Datorita greutatii lor specifice mai reduse, calculii pur colesterolici cu dimensiuni mici pot fi, de asemenea, flotanti, fara ca pentru aceasta sa fie necesara alterarea proprietatilor fizice ale bilei veziculare.
Imaginile intalnite in litiaza veziculara sunt extrem de polimorfe. Calculii pot fi unici sau multipli si pot avea dimensiuni variate, de la cativa milimetri la 4 – 5 cm, in aceeasi vezicula biliara.
Aprecierea ecografica a diametrului unor calculi, indeosebi cand sunt multipli, poate fi dificila si se preteaza la erori. De asemenea, este hazardat sa se afirme numarul calculilor, indeosebi daca se gasesc mai mult de 3 - 5 in acelasi colecist.
Premergator tratamentelor nechirurgicale pentru litiaza veziculara (disolutie chimica, litotripsie extracorporeala) si ca mijloc de apreciere a rezultatelor terapeutice se evalueaza trei parametri:
1. dimensiunile,
2. numarul
3. natura colesterolica a calculilor
Ultrasonografia poate fi folosita pentru investigarea calitatii functiei evacuatorii a colecistului, dar nu este in masura sa caracterizeze si functia de concentrare a mucoasei, ceea ce apartine numai colecistografiei radiologice.
Calculii multipli sau calculii solitari cu dimensiuni mari pot ocupa in intregime lumenul colecistului si pot crea, astfel, dificultati de recunoastere a acestuia. In atare situatii, elementul care permite diagnosticul corect de calcul il reprezinta evidentierea umbrei acustice. In cazurile in care lumenul vezicular este aproape complet ocupat de calculi, se realizeaza un aspect caracteristic si anume, imaginea de 'dublu arc-umbra' sau de 'triada WES' (de la wall - echogenicity - shadow). In aceasta imagine, arcul anterior ecogen este reprezentat de peretele colecistului, stratul transsonic intermediar, de continutul biliar fluid in cantitate redusa, iar arcul ecogen profund cu umbra acustica posterioara, de suprafata reflectogena a calculilor.
Daca imaginea colecistului nu poate fi clar identificata, dar se constata o umbra neta care porneste din patul vezicular, cea mai mare probabilitate este ca imaginea sa apartina unei colecistite sclero-atrofice litiazice sau vezicule de portelan.
Cauze de evaluare fals-negativa:
dificultati sau greseli de recunoastere a colecistului
calculi inclavati in regiunea infundibulo - cistica
calculi localizati intr-un diverticul sau in segmentul distal al colecistului
calculi de dimensiuni mici, fara umbra
calculi intr-o 'vezicula de portelan' (mascati de umbra)
erori de tehnica (reglarea aparaturii, pozitii, sectiuni)
calitatea transductorilor (rezolutie, frecventa, focalizare)
conditii tehnice dificile (pacient necooperant)
Cauze de evaluare fals-pozitiva:
dificultati sau greseli de recunoastere a colecistului
umbra acustica data de pliuri ale colului vezicular
umbra acustica data de gaze (flexura colica dreapta, duoden)
umbra acustica data de gaze in colecist
umbra acustica data de agrafe chirurgicale, zone de fibroza sau cicatrici calcifiate
polip colesterolotic
septari ale colecistului
sludge
paraziti
corpi straini (catetere, drenuri)
Sludge-ul sau noroiul biliar reprezinta o entitate a carui semnificatie patogenetica este mult discutata. Contine granule de bilirubinat de calciu si cristale de colesterol si poate fi evidentiat la pacientii cu staza veziculara de orice cauza (post prelungit, nutritie parenterala totala, vagotomie), in hemoliza, respectiv, in obstructia biliara la nivelul cisticului sau a coledocului. In mod caracteristic, sludge-ul dispare daca conditia generatoare a fost inlaturata.
Sedimentul biliar putin abundent ofera imagini ecogene punctiforme declive, mobile, fara umbre. In cazul in care este mai abundent si cu o consistenta semifluida, sludge-ul are aspectul unei mase hipoecogene fara umbra, relativ omogena, dispusa decliv. Uneori, in masa de sludge pot fi puse in evidenta imagini ecogene de microcalculi, cu artefact 'in coada de cometa'.
In general, sludge-ul se separa net si liniar de imaginea strict transsonica a continutului fluid al colecistului (asa-numitul 'fluid/fluid level') si este mobil, in functie de pozitia in care este examinat pacientul. La schimbarea pozitiei de examinare, mobilizarea sa se face, insa, mai lent, ceea ce poate constitui un criteriu de diferentiere fata de un strat de calculi multipli, cu dimensiuni mici.

Sludge biliar
Uneori, noroiul biliar se dispune in conglomerate cu aspect de minge sau bulgare, modificarea fiind mai frecventa daca exista o conditie inflamatorie locala. Aceste imagini pot fi greu de deosebit de cele date de o tumora veziculara polipoida sau vegetanta. Singurele criterii utile sunt mobilitatea si variabilitatea aspectului in timp scurt, caracteristica pentru sludge, respectiv demonstrarea prin Doppler-color a fluxului vascular, in cazul tumorilor.
De asemenea, imaginile date de noroiul biliar trebuie diferentiate de artefactele create prin reverberatii superficiale, usor de realizat prin schimbarea gradului de apasare efectuat cu transductorul sau de imaginile false datorate reglarii incorecte a gain-ului distal.
Sludge-ul biliar reprezinta un risc moderat, dar demonstrat, pentru calculi si, uneori, poate insoti litiaza.
In afara noroiului biliar, mai pot oferi imagini focale ecogene fara umbra
calculii veziculari
coagulii formati dupa hemoragii intracolecistice
puroiul (in colecistita acuta)
particulele alimentare sau continutul intestinal semisolid (in fistulele colecisto-digestive spontane sau chirurgicale)
unii paraziti (ascaris, fasciola hepatica, distomiaza, membranele, veziculele fiice sau/si nisipul hidatic din ruptura chistului hidatic comunicanta cu colecistul)