Patologia ovarului – CHISTURI OVARIENE
Examenul ecografic evidentiaza trei aspecte:
a) ovarul cu dimensiuni normale, contur regulat, dar cu structura micropolichistica cu diametre sub 5 mm. Acest aspect apare mai frecvent la femeile care folosesc estroprogestative minidozate sau microprogestative. Aspectul se afla la limita normalului.

Imaginea ecografica a ovarului micropolichistic in cadrul unei
patologii caracterizata prin insuficienta ovariana
b) ovarul cu dimensiuni la limita superioara a normalului si contur boselat datorita numeroaselor chistele cu diametru de 5—10 mm. Modificarile prezente bilateral tradeaza existenta unei distrofii, consecinta a hipercorticismului, hiperprolactinemiei sau hiperandrogeniei.
c) ovarul cu dimensiuni de peste 40 mm cu aspect omogen bilateral pledeaza pentru sindromul Stein-Löwenthal. Diagnosticul diferential se face in aceste cazuri cu cancerul ovarian si adenopatiile pelviene.
Aspectele functionale
— foliculii mari degenerativi, sindromul LUF sau chistul corpului galben dispar dupa menstrua 55;ie ceea ce caracterizeaza natura lor functionala;
Formatiuni tumorale ovariene functionale. a. Folicul chistizat. b. 'LUF sindrom'. Diagnosticul diferential prezumtiv se poate face apreciind aspectul endometrului care in a doua situatie este hiperplazic, transformat secretor.

— formatiunile chistice peste 60 mm pot persista si dupa menstruatie si tratament medical necesitand un tratament chirurgical (punctie sau chistectomie). Aceste chiste au peretii fini, fara vegetatii parietale si sunt pur transsonice. Chistul hemoragic al corpului galben are un continut neomogen, adesea cloazonat, putand fi confundat cu o sarcina ectopica;
Corp galben chistizat si cu hemoragie intrachistica.

chistele prin hiperstimulare cu inductori de ovulatie sau chisturile asociate cu sarcina molara apar ca si formatiuni de suprafata ale ovarului, cu dimensiuni mari.
Ovar micropolichistic identificat in cursul urmaririi unei stari postmolare

Aspectele organice
— chistul seros este unilocular are contur net, pereti fini si continut transonic. Chistul ovarian seros poate fi si multilocular Diagnosticul diferential se face cu diverticulul vezical.

Chist ovarian.

Chist ovarian seros unilocular. Formatiunea chistica ovariana prezinta tonicitate crescuta si este transsonica.

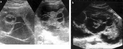
Chist ovarian seros multilocular. a. Sectiune transversala, cu evidentierea a trei structuri esentiale in diagnosticul chistului ovarian: vezica urinara plina, corpul uterin, formatiune ovariana ce prezinta contururi bine delimitate, ecourile interne fiind organizate si desenand septurile intratumorale. b. Sectiune longitudinala. c. Chist ovarian mucoid. Peretele posterior al formatiunii tumorale mulat pe coloana vertebrala.

— chistul mucoid are peretii grosi si aspect ecogen. Se face diagnosticul diferential cu chistul mezenteric si hidatidoza pelviana.
Chistadenom ovarian mucinos la o femeie de 40 de ani

— chistul endometriozic este ecogen si are forma ovalara, cu pereti grosi, neregulati. Diagnosticul diferential se face cu chistul seros, hemoragic, hematosalpinx si cancerul ovarian.
Aspect tipic pentru endometrioza ovariana. a. Ecografie transabdominala. b. Ecografie transvaginala

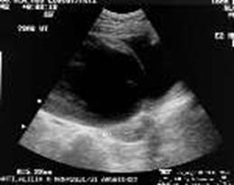
— chistul dermoid are un accentuat polimorfism ecografic dat de varietatea mare de structuri pe care le contine (lichidiana, tisulara, calcificari). Prezenta sebumului si a parului genereaza imagini tipice de linii ecogene orizontale imobile. Diagnosticul diferential se face eu nodulul fibromatos subseros pediculat, cu degenerescenta calcara si cu cancerul ovarian
Teratom ovarian imatur la o preadolescenta.



Chist dermoid de ovar la o
femeie de 27 de ani.

Teratom ovarian matur de ovar stang (chist
dermoid).


Teratom chistic matur de ovar drept la o femeie tanara.

chistele complicate cu hemoragie intrachistica au aspect polimorf, cu ecouri fine, omogene sau aspect transsonic cu sediment ecogen decliv, mobilizabil cu schimbarea pozitiei pacientei.
Chist ovarian functional complicat cu hemoragie intrachistica

— chistul torsionat se prezinta ca si o masa heterogena cu ecouri interne date de prezenta hemoragiei intrachistice precum si de prezenta unor cloazonari interne neregulate. Cresterea in dimensiuni a chistului la examinari repetate, efectuate la intervale scurte de timp, are valoare diagnostica.
Chist dermoid stang torsionat la o femeie de 30 de ani.


Torsiune de ovar stang cu infarct hemoragic
si necroza de ovar. Trompa
uterina cu hemoragie difuza intramurala si
intraluminala. Diagnosticul diferential se face cu: chistul hemoragic
ecogen, endometriomul, abcesul tubo-ovarian cu bride ecogene, ovarul inflamat
sau edematos (ex. torsiune).

- cancerul de ovar apare ca si o masa tumorala cu continut lichidian sau mixt, neregulata, cu pereti grosi si cu cloazonari. Prezenta structurilor tisulare si a vegetatiilor intrachistice coexista cu ascita. Se mai poate constata asimetria ovarelor, cresterea in volum a acestora si prezenta hipoplaziei de endometru. Diagnosticul diferential se face cu hipertrofia compensatorie a ovarului dupa ovarectomie unilaterala, fibrom alovarului, fibrom uterin pediculat.
Tumora ovariana cu structura mixta.

Tumora ovariana cu ecostructura mixta.

Tumora ovariana,
structura interna de o mare heterogenitate

Formatiune tumorala cu structura mixta aparuta in menopauza. Imaginea ecografica pledeaza pentru neoformatie maligna. Pentru un diagnostic de certitudine sunt autori care recomanda examinarea Doppler a circulatiei ovariene


Neoplasm ovarian chistic drept,
malformatie a mezoovarului. Diagnosticul diferential se face cu
chistadenom, chistadenocarcinom, teratom, abcesul tubo-ovarian, hidrosalpinx.



Chistadenom seros drept confirmat
anatomopatologic: imagine sagitala mediana 1, anexa dreapta 2-4.
Diagnosticul diferential se face cu chist ovarian exofitic, neoplasm
chistic, chist paraovarian.



Cancer ovarian cu polip endometrilal si chist ovarian drept la o
femeie in varsta diagnosticat anatomopatologic prin chistadenom mucinos cu
malignitate borderline

Diagnosticul diferential al formatiunilor ovariene
In cazul formatiunilor pelviene cu aspect chistic, cu continut lichidian, diagnosticul diferential se face cu: ansa intestinala, colectie la nivelul trompei, chist de mezoovar, ascita localizata, diverticul vezical.
In cazul unei formatiuni solide sau mixte diagnosticul diferential se face cu: sarcina ectopica, segment colic, adenopatie inflamatorie sau neoplazica, tumora cecala, rinichi ptozat.
In cazul unei mase tumorale gigante diagnosticul diferential se face cu: megavezica, tumori gigante mezenterice, pseudomixomul peritoneal, fibromioame gigantice.