Traumatismele splinei
Splina, fiind un organ fragil, este frecvent interesata in traumatismele toraco-abdominale. Rar, ruptura splenica poate fi spontana.
Examenul ultrasonografic reprezinta o indicatie majora in cazul suspiciunii de hematom splenic. Sensibilitatea si spec ificitatea metodei sunt remarcabile, afectarea splinei putand avea consecinte grave.
Desi grilajul costal elastic protejeaza splina, traumatismele puternice determina leziuni splenice.
Contextul traumatic este esential pentru diagnostic, dar uneori el nu se regaseste in anamneza sau poate lipsi (rupturi splenice spontane).
Leziunile splenice produse prin traumatisme sunt variate si, frecvent, se pot combina intre ele. In general, prin ecografie pot fi recunoscute :
- contuzia parenchimului
- hematoame de diverse tipuri
- efractia extracapsulara
- leziunile traumatice asociate ale altor organe
Contuzia parenchimatoasa fara dilacerarea capsulei poate oferi o imagine de dezorganizare neomogena a texturii parenchimului splenic. Leziunea este frecvent hipoecogena, cu contur neregulat si imprecis, poate evolua spre rezolutie sau spre constituirea unei colectii (hematom, abces).
Ruptura splinei se poate produce intr-un singur timp, imediat dupa traumatism, sau in doi timpi cand, in prima etapa, se produce rupture organului cu dilacerarea lui, iar in cea de-a doua are loc ruptura capsulei cu hemoragie in cavitatea peritoneala.
Hematomul splenic aparut consecutiv traumatismului splenic variaza ca aspect in functie de vechimea sa :
1. Hematom foarte recent - sub 6 ore
Nu se vizualizeaza / se vizualizeaza cu dificultate / hiperecogen
2. Hematom recent - sub 48 ore
Hiperecogen / hipoecogen
3. Hematom subacut - 3-10 zile
Hipoecogen / transsonic, +/- cheaguri ecogene
4. Hematom vechi - 3 saptamani
Hipo / hiperecogen. Dimensiuni reduse (frecvent) sau in scadere (monitorizare)
5. Hematom sechelar - peste 3 saptamani
Hiperecogen (fibroza) / transsonic (pseudochist)
Examenul clinic este extrem de important: bolnavul are dureri intense la nivelul hipocondrului stang, tensiune arteriala scazuta, uneori stare de soc hipovolemic.
Examenul de laborator poate evidentia leucocitoza, hematocrit scazut.
Ecografic, hematomul are aspectul oricarei colectii hematice, fiind hipoecogen sau chiar transsonic, situat cel mai frecvent subcapsular. El se dezvolta in special in portiunea ventrala a splinei, intre polul superior al rinichiului stang si splina.
In mod particular, hematoamele foarte recente pot avea ecogenitate relativ crescuta. In hematoamele subacute, hipoecogene, se vizualizeaza uneori mase cu ecogenitate variabila, date de cheaguri.
Evolutia hematoamelor determina aparitia unor imagini ecogene date de fibroza sau, mai rar, a unor zone transsonice cu semnificatie de pseudochiste, care pot persista luni sau ani de zile. In cazul suprainfectarii, aspectul se modifica sensibil, in general prin cresterea neomogena a ecogenitatii leziunii.
Hematoamele pot fi localizate :
- intraparenchimatos
- subcapsular
- perisplenic
- in marea cavitate peritoneala (hemoperitoneu).
Hematomul intraparenchimatos poate fi unic sau multiplu, cu contur regulat sau anfractuos, cu amplificare acustica posterioara si nu prezinta, de obicei, imagine de perete.
Evolutia se poate face spre:
- efractie extracapsulara (hematom 'in doi timpi')
- suprainfectie
- vindecare spontana.
Hematomul subcapsular apare ca o zona de colectie superficiala aplatizata (uneori, semilunara), cuprinsa intre parenchimul splenic si ecoul liniar al capsulei splenice decolate. Conturul parenchimului splenic poate fi regulat sau anfractuos, iar dimensiunile, foarte variabile.
Hematoamele mari pot disloca splina din loja sa. Colectiile perisplenice din aceasta categorie se complica frecvent cu efractie extracapsulara. De multe ori, este dificil de afirmat daca un hematom este strict subcapsular sau a depasit deja bariera capsulei splenice.
Hematomul perisplenic este o colectie peritoneala care a depasit capsula si s-a insinuat in loja splenica. Ea poate fi localizata sau inglobeaza, partial sau in intregime, splina. De obicei, insoteste un hematom subcapsular. In cazul hematoamelor perisplenice, se poate identifica bine imaginea capsulei splenice decolate, care separa colectia extracapsulara de cea subcapsulara. In aceleasi conditii, pot fi puse in evidenta discontinuitati ale ecoului capsulei splenice, ca expresie a rupturii traumatice a acesteia.

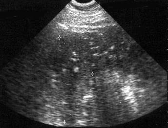
Hematom subcapsular

Hematom subcapsular cu efractie in laja splenica
Hemoperitoneul
se produce prin inundarea cavitatii peritoneale fiind frecvent asociat
unui hematom splenic cu efractie extracapsulara. Colectia
poate fi identificata subfrenic stang, paracolic stang, in spatiul
In conditiile unui traumatism splenic suspectat sau dovedit, cautarea colectiei peritoneale este obligatorie, iar constatarea sa, impune afirmarea hemoperitoneului. In cazuri limita, ghidarea unei punctii exploratorii poate reprezenta modalitatea cea mai simpla si eficienta de a afla raspunsul corect privind natura colectiei.
Invers, la un pacient politraumatizat, constatarea unei colectii peritoneale obliga la explorarea atenta a splinei, aceasta fiind cea mai frecventa sursa a hemoperitoneului traumatic. Identificarea unui hematom intrasplenic obliga la explorarea atenta a intregului abdomen pentru evidentierea si a altor posibile leziuni de etiologie traumatica .
In cazul splinei traumatice, dificultatile sunt reprezentate de imaginile oferite de contuzia parenchimului sau de leziunile (hematoamele) de dimensiuni mici, care pot scapa chiar unui examen atent. Umbrele costale pot masca colectii mici. Examinarea unui pacient politraumatizat, agitat sau socat, poate fi extrem de dificila si aceasta constituie, frecvent, o sursa de eroare. Insasi aplicarea transducerului poate determina dureri ce impiedica examinarea. Pacientii prezinta adesea distensie gazoasa consecutiva ileusului paralitic.
Conduita actuala fata de ruptura splenica, indeosebi la copii si tineri, este mult mai conservatoare decat cea din urma cu 5-10 ani, cand splenectomia reprezenta o indicatie indiscutabila. Monitorizarea clinica, hemodinamica, ultrasonografica si/sau prin CT constituie un element cheie in ceea ce priveste decizia terapeutica optima.
Se alege o conduita conservatoare (in cazul colectiilor reduse cantitativ si care tind sa se resoarba) sau interventia chirurgicala, in cazul colectiilor mari sau care nu se opresc spontan.
Calcificarile intrasplenice
Sunt intalnite frecvent, pot fi unice sau multiple, au dimensiuni variabile . Cauzele pot fi foarte diverse:
granulomatoze splenice
tuberculoza
calcificarea unor cicatrici postinfarct sau posttraumatice
calcificarea unor formatiuni chistice sau a unor metastaze (ovar)
mai rar : infarctul splenic se poate calcifica
calcificari in interiorul tumorilor splenice benigne sau maligne
Atunci cand sunt intalnite izolat si nu insotesc o imagine inlocuitoare de spatiu (chist, metastaza etc.), nu au semnificatie patologica.
Ecografic, prezinta aspectul caracteristic de ecogenitati focale cu con de umbra posterioara, dimensiuni variabile.
Bolnavii pot prezenta antecedente personale de tuberculoza cu calcificari pulmonare consecutive.
In cazul calcificarii chistelor hidatice se pot observa imagini similare de calcificari ale chistelor localizate hepatic. La pacientii cu traumatisme splenice in antecedente se pot evidentia calcificari ale hematoamelor.
Diagnosticul etiologic al calcificarilor este dificil.

Calcificare splenica unica

Calcificari splenice multiple