Tumorile hepatice maligne
Tumorile primare
Hepatocarcinomul (HCC) este o tumora maligna cu raspandire larga, mai frecvent intalnita la barbati decat la femei (raport circa 4/1 - 8/1). Apare in contextul unor factori de risc cum ar fi ciroza hepatica de etiologie virala (mai rar, cea etanolica), precum si ciroza dismetabolica (hemocromatoza). Alti factori de risc pentru dezvoltarea HCC sunt reprezentati de hepatita cronica virala B si C, precum si expunerea indelungata la agenti carcinogeni (alfachimotripsina etc.). La copii, HCC este mai rar intalnit. Clinic, HCC evolueaza cu hepatomegalie, durere in hipocondrul drept, slabire in greutate si inapetenta. Hepatomegalia este importanta, rapid progresiva, globala sau asimetrica, realizand uneori deformarea rebordului costal. Auscultatia regiunii hepatice permite identificarea unui 'freamat' vascular care se datoreaza vaselor de neoformatie din interiorul tumorii. Alte simptome ce apar in evolutia HCC sunt icterul prin colestaza intra- si/sau extrahepatica, precum si unele sindroame paraneoplazice (hipoglicemie, hipercalcemie, eritrocitoza etc.). In circa 40-80 % din cazuri se intalneste febra si ascita rebela la tratament, secundara i nvaziei sistemului venos port de catre tumora. Exista forme clinice particulare de HCC care se intalnesc adesea in explorarea ecografica a sindromului hepatomegalic tumoral. Astfel, forma acuta, aparuta pe fond cirotic, la adultii tineri din Africa, este caracterizata prin debut brusc si evolutie galopanta. Forma 'colecistitica' este caracterizata prin existenta unui bloc subhepatic. Aceasta forma anatomoclinica poate evolua cu sindrom icteric si hemoperitoneu, prin ruptura hepatica. Anatomic, HCC imbraca o forma encefaloida, o forma nodulara multicentrica sau o forma difuza. In peste 25-40% din cazuri, HCC invadeaza sistemul venos port.Uneori se poate extinde la nivelul venelor hepatice realizand sindromul Budd Chiari. Ecografia poate sa detecteze HCC cu o sensibilitate de circa 65 - 94%. Ea poate sa identifice oricare dintre formele anatomice descrise, precum si varianta de HCC incipient. Limitele ecografiei in diagnosticul HCC sunt reprezentate de tumorile mici, de regula sub 20 mm, precum si de tumorile multicentrice, a caror apreciere numerica este dificil de efectuat prin aceasta metoda.
Aspectul ecografic al hepatocarcinomului este variabil, in functie de caracterele sale macroscopice. Hepatocarcinomul encefaloid se prezinta ca o formatiune cu consistenta parenchimatoasa, cu dimensiuni peste 3 - 5 cm. In peste 60% din cazuri, localizarea este la nivelul lobului hepatic drept. Delimitarea tumorala poate sa fie neta, incapsulata sau poate sa fie realizata printr-un 'halou' peritumoral. Adesea, delimitarea HCC este imprecisa, ceea ce face ca aprecierea reala a dimensiunilor tumorale sa fie dificila. Fara a avea o valoare diagnostica absoluta, si atunci cand exista, haloul peritumoral, are doua calitati: sugereaza existenta unei tumori hepatice maligne si trebuie evitat in cursul biopsiei hepatice, fiind alcatuit cel mai adesea din parenchim hepatic normal. Structura HCC este, in majoritatea cazurilor, neomogena - expresie a necrozelor, a sangerarilor si a hipervascularizatiei intratumorale.

Hepatocarcinom forma encefaloida: a. tumora solida in lobul drept; b. hipervascularizatie intratumorala (reconstructie 3D); c. tumora hipo - izoecogena in lobul drept (sageata); d. scintigrafia hepatica (sageata)
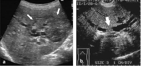
Nu exista o relatie intre structura ecografica a tumorii si gradul de diferentiere. Structura omogena a HCC se intalneste rar si, atunci cand exista, poate impune diagnosticul diferential cu angiomul hepatic, cu metastazele hepatice precum si cu chistul hidatic hepatic organizat solid. In situatii mai rare, HCC encefaloid poate sa fie omogen si izoecogen. In aceste conditii, identificarea tumorii este dificila (fig. c) si trebuiesc luate in considerare elemente ecografice indirecte, in principal dislocarile si invaziile vasculare. In acelasi timp, sunt necesare investigatii suplimentare, in principal scintigrafice (fig. d) si CT. Uneori, tumora invadeaza caile biliare mici. In aceste conditii, se pot identifica dilatari de cai biliare care schiteaza semnul 'tevii de pusca de vanatoare'. Hepatocarcinomul multicentric apare sub forma de noduli numerosi, cu dimensiuni variabile, cu consistenta parenchimatoasa. Dispersia nodulilor este neomogena, existand frecvent un nodul mai voluminos care poate constitui sursa primara tumorala. Diagnosticul diferential cu metastazele hepatice este dificil (fig. a).

Alte variante anatomo - ecografice de hepatocarcinom: a. multicentric; b. dislocuire vasculara in HCC difuz
Elemente ecografice ajutatoare sunt reprezentate de semnele de invazie a tumorii la nivelul venei porte si de semnele sugestive de ciroza hepatica, pe care HCC se grefeaza cel mai adesea. Explorarea vasculara codificata color evidentiaza semne de hiperirigatie intratumorala, ceea ce pledeaza de asemenea pentru natura primara a formatiunii. Hepatocarcinomul difuz produce o modificare accentuata a ecostructurii hepatice, care are un aspect foarte neomogen, nodular. Nu se pot pune in evidenta formatiuni tumorale distincte. Hepatomegalia este exprimata, asimetrica, cu deformarea accentuata a capsulei, iar structurile vasculare sunt dislocate, colabate sau trombozate. Diagnosticul diferential cu ciroza hepatica este greu de facut numai pe baza criteriilor ecografice. Elemente ajutatoare sunt reprezentate de tabloul clinic (starea generala alterata a pacientului fiind aproape regula), precum si de modificarea probelor functionale hepatice. La explorarea scintigrafica se evidentiaza arii extinse de hipocaptare, iar la CT se constata formatiuni nodulare cu densitati diferite. Diagnosticul diferential al HCC cu metastazele sau cu nodulii tumorali de alta natura impune sumarea unor modificari ecografice (dimensiuni, localizare, structura, vascularizatie etc.) si corelarea cu datele clinice si biologice. Singurul element relativ specific, sugestiv pentru natura hepatocelulara a unei tumori, il constituie invazia vaselor hepatice. Cel mai frecvent intalnita este tromboza sistemului venos port. Tromboza portala maligna este o forma de invazie neoplazica. Ca urmare, vasele afectate sunt dilatate, cu lumenul ocupat de masa patologica. Obliterarea luminala poate sa fie incompleta sau completa. In interiorul trombului se identifica vascularizatie de tip arterial, similara cu cea de la nivelul tumorii primitive. Invazia tumorala poate prezenta numeroase modele ecografice. In majoritatea cazurilor trombul se identifica numai la nivelul vasului situat in contact cu formatiunea. Adesea, insa, se poate constata o tromboza portala concomitenta la nivelul mai multor ramificatii vasculare. Extensia tumorala la nivelul sistemului port poate sa fie partiala sau totala, interesand chiar si trunchiul portal extrahepatic si afluentii venei porte. Exista o relatie directa intre dimensiunea si numarul nodulilor tumorali, tipul macroscopic de HCC si aspectul ecografic al trombozei portale. Astfel, tumorile hepatice sub 5 cm, unice, realizeaza o invazie portala in 9,8% din cazuri, in timp ce HCC difuz invadeaza vena porta in peste 64,7% din cazuri.

Modele ecografice de tromboza maligna a venelor portale a. tromboza intrahepatica completa; b. tromboza hilului; c. tromboza periferica; d. tromboza (obstructie incompleta) la nivelul trunchiului port
Diagnosticul diferential al trombozei portale maligne trebuie facut cu situatiile in care fluxul sangvin portal este foarte lent si devine ecogen. Explorarea ecografica codificata color, indeosebi in modul power, precum si administrarea agentilor de contrast intravenos usureaza diagnosticul. Tromboza portala benigna, hematica, poate mima o invazie portala tumorala atunci cand este veche si devine ecogena. Diagnosticul se poate transa prin punctie aspirativa dirijata in tromb sau prin urmarirea ecografica la intervale de 6 - 12 saptamani. In caz de tromboza hematica, aspectul ecografic se modifica de la o explorare la alta. Apar semne de recanalizare si, tardiv, se poate constitui un cavernom portal. Invazia venelor hepatice de catre HCC este vizibila ecografic in sub 10% din cazuri. Aspectul poate fi acela de obliterare luminala completa, prin colabare datorita unui proces extrinsec (fig. b) sau prin ecouri intravasculare (fig. a).

Modele ecografice de tromboza maligna a venelor hepatice: a. invazie tumorala intrahepatica (sageti); b. tromboza maligna a venei hepatice medii (sageti); c. tromboza intrahepatica cu prolabare in vena cava inferioara; d. spectru venos monofazic
Explorarea poate detecta extensia procesului tumoral la nivelul venei cave inferioare (c). Examinarea codificata color usureaza considerabil diagnosticul, prin demonstrarea disparitiei semnalului din venele hepatice. In obstructiile venoase incomplete, se constata disparitia semnalului trifazic si aparitia unui semnal vascular monofazic (d). Hepatocarcinomul incipient este definit ca un nodul malign unic, dezvoltat frecvent pe ficat cirotic, avand diametrul sub 2 cm. Aceasta varianta de hepatom este vindecabila chirurgical sau prin alte tehnici terapeutice (embolizare, alcoolizare etc.). Clinic, HCC incipient este asimptomatic, iar biologic poate evolua cu valori crescute ale alfa-1-fetoproteinei si a unor markeri tumorali nespecifici (gamaglutamiltranspeptidaza, fosfataza alcalina etc.). Performanta diagnostica a ecografiei in detectarea HCC se caracterizeaza printr-o sensibilitate de 58,9% si o specificitate de 99,9%. Rata detectarii sonografice a HCC sub 3 cm poate ajunge la 91,2 % din cazuri atunci cand explorarea se efectueaza sistematic, sub forma de studii screening efectuate la intervale de 6 luni, pe populatii cu risc. Ecografic, HCC incipient se prezinta ca o formatiune nodulara unica, rotunda, relativ bine delimitata, hipoecogena, avand consistenta parenchimatoasa ( a,b).

Hepatocarcinom incipient: a. si b. nodul hipoecogen; c. Vascularizatie tumorala (explorare power); d. semnal vascular arterial (examinare Doppler pulsat)
In aceasta faza, cand dimensiunea nodulului este sub 2 cm, tumora este incapsulata si de aceea, invazia portala este rara. Examinarea vasculara, in principal cea codificata color, pune in evidenta vase de neoformatie cu localizare centrala si periferica (c). La explorarea pulsatorie aceste vase prezinta un caracter arterial (d). Acest model de imagine se modifica pe masura ce formatiunea creste in dimensiuni. In interval de 1 - 2 ani, HCC incipient se transforma din nodul hipoecogen in nodul izoecogen, asemanator cu parenchimul hepatic indemn, dar circumscris de un halou hipoecogen. Din acest moment, cresterea in volum a tumorii este mai rapida. Formatiunea devine hiperecogena pentru ca, in final, secundar fibrozei si necrozelor intratumorale, sa capete o ecostructura mixta. Rata medie de crestere a HCC incipient este de circa 1 cm la fiecare 3 luni. In aceste conditii, o tumora de 1 cm poate ajunge la 3 cm in aproximativ 4-6 luni, ceea ce face ca o explorare ecografica de buna calitate, efectuata la interval de 4-6 luni la un pacient cirotic sa ofere sanse reale pentru detectarea unei astfel de tumori.Diagnosticul diferential al HCC incipient poate fi, uneori, dificil. Astfel, in ciroza macronodulara, nodulii de regenare pot fi voluminosi, avand dimensiuni uneori peste 10 mm. Diagnosticul diferential se transeaza prin punctie biopsie hepatica dirijata ecografic si prin urmarirea volumului tumoral, la intervale de timp scurte, de ordinul a 6-12 saptamani. Metastazele hepatice unice pot, de asemenea, sa prezinte un aspect ecografic asemanator cu cel al HCC incipient. Contextul clinic si biopsia hepatica dirijata contribuie de cele mai multe ori la elucidarea diagnosticului afectiunii. Explorarea ecografica a ficatului pentru detectarea HCC incipient poate fi inoportunata de dimensiunile mici ale ficatului (in caz de ciroza atrofica), de meteorismul intestinal, lipsa de cooperare a pacientului precum si de localizarea periferica a tumorii, indeosebi subdiafragmatic, in segmentul VIII. De asemenea, nu trebuie omisa existenta nodulilor hepatici cu aspect izoecogen. Din aceste motive, screening-ul tumoral la pacienti cu ciroza hepatica trebuie sa se faca in servicii clinice specializate, dotate cu echipamente ecografice de buna calitate si specialisti experimentati. Explorarea trebuie sa fie minutioasa, sistematica, competenta si corelata cu celelalte investigatii, in principal CT, efectuata prin sectiuni la distante mici si contrast i.v. Valori crescute ale alfa-1-fetoproteinei, in lipsa unui nodul tumoral distinct, impun reducerea intervalului dintre explorarile ecografice la 6-12 saptamani.
Hepatoblastomul (HB) este o tumora hepatica primara intalnita la copii. Clinic, exista semne de impregnare maligna (slabire in greutate, inapetenta, paloare accentuata, hepatomegalie, uneori febra). Ecografic, la nivelul ficatului se constata o formatiune tumorala cu dimensiuni variabile, cu consistenta solida, avand structura parenchimatoasa, neomogena si delimitare relativ neta (a), uneori cu semne de invazie portala sau venoasa hepatica (b).

Hepatoblastom: a. tumora hipoecogena (sageti); b. invazie portala (sageata)
Nu exista modificari ecografice caracteristice naturii acestei tumori. Uneori, formatiunea poate prezenta calcificari centrale sub forma de imagini ecogene cu con de umbra. Adesea, HB se insoteste de noduli cu aspect ecografic similar si in restul parenchimului hepatic. Hepatoblastomul se caracterizeaza prin formarea de sunt-uri arterio-venoase mici. Acestea nu sunt vizibile ecografic, dar prezenta lor poate fi dedusa din existenta unei vascularizatii intense detectabile Doppler. Vitezele sistolice si diastolice sunt accelerate, iar impedanta vasculara este scazuta, la fel ca si in cazul hepatocarcinomului.
Colangiocarcinomul (CCC) este o tumora cu punct de plecare la nivelul cailor biliare sau cu etiologie mixta hepato-colangio-celulara. Se dezvolta pe ficat necirotic si nu secreta alfa-1-fetoproteina. Aspectul clinic este dominat de sindromul icteric (coloratia galbena a tegumentelor si mucoaselor, urini hipercrome, scaune decolorate, prurit tegumentar), precum si de catre sindromul de impregnare maligna. Ecografic, formatiunea tumorala poate sa fie unica sau multipla, multicentrica, cu localizare in acelasi lob sau in ambii lobi ai ficatului. Poate avea o dispozitie periferica, mai frecvent subcapsulara (cu precadere la nivelul lobului drept hepatic) (a) sau centrala, cand invadeaza hilul hepatic (tumora Klatskin) (b). Dimensiunile tumorii sunt foarte variabile, iar delimitarea este relativ neta. Haloul peritumoral este intalnit la mai putin de 1/3 din cazuri. Atunci cand are dimensiuni mici, CCC este hipoecogen, ceea il face dificil de diferentiat de chisturile hepatice, in timp ce in caz de volum mare, ecogenitatea tumorii este crescuta.Colangiocarcinomul cu diferentiere celulara inalta poate 'sparge' peretii cailor biliare si poate realiza o invazie a acestora, similara hepatocarcinomului fata de sistemul venos port. Dilatarile de cai biliare intrahepatice apar in cazul tumorilor centrale, indeosebi a tumorii Klatskin. Aceasta se insoteste de colabarea colecistului (care poate sa fie inaparent ecografic) si de prezenta de structuri limfoganglionare la nivelul hilului hepatic.

Colangiocarcinom: a. localizare periferica (sageti); b. localizare la nivelul hilului hepatic (tumora Klatskin) (sageata)
Sarcomul hepatic este o tumora rara, avand originea in tesutul de sustinere al ficatului. Se dezvolta indeosebi dupa administrarea de agenti de contrast iodati de tip Thorotrast. Aspectul ecografic este destul de necaracteristic - formatiune tumorala voluminoasa, cu structura neomogena, adesea prezentand necroza centrala cu aspect hipoecogen sau transsonic. Hemangiosarcomul hepatic se caracterizeaza prin existenta de vase de neoformatie in interiorul tumorii care produc un semnal Doppler intens.